Skip Links
GDental
+36-30-623-5377 info@gdental.hu Nyíregyháza, Fészek u. 139, 4400
Hétfő, Szerda: 13:00-20:00 | Kedd, Csütörtök, Péntek: 8:00-14:00
  • Főoldal
  • Kapcsolat
  • Árak
  • Rendelőnk
  • Mosoly képek
  • Blog
  • Főoldal
  • Kapcsolat
  • Árak
  • Rendelőnk
  • Mosoly képek
  • Blog
yes 250

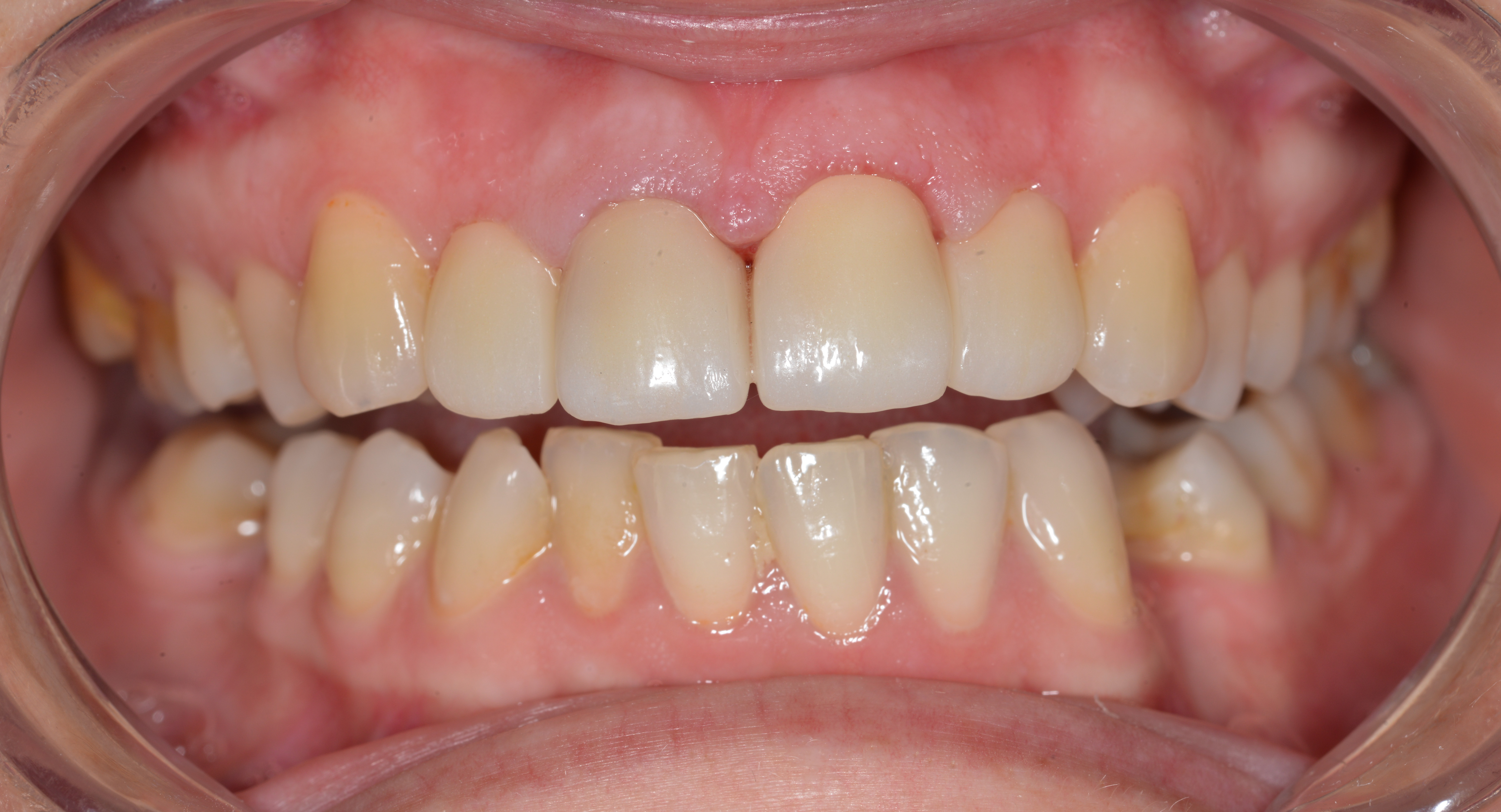
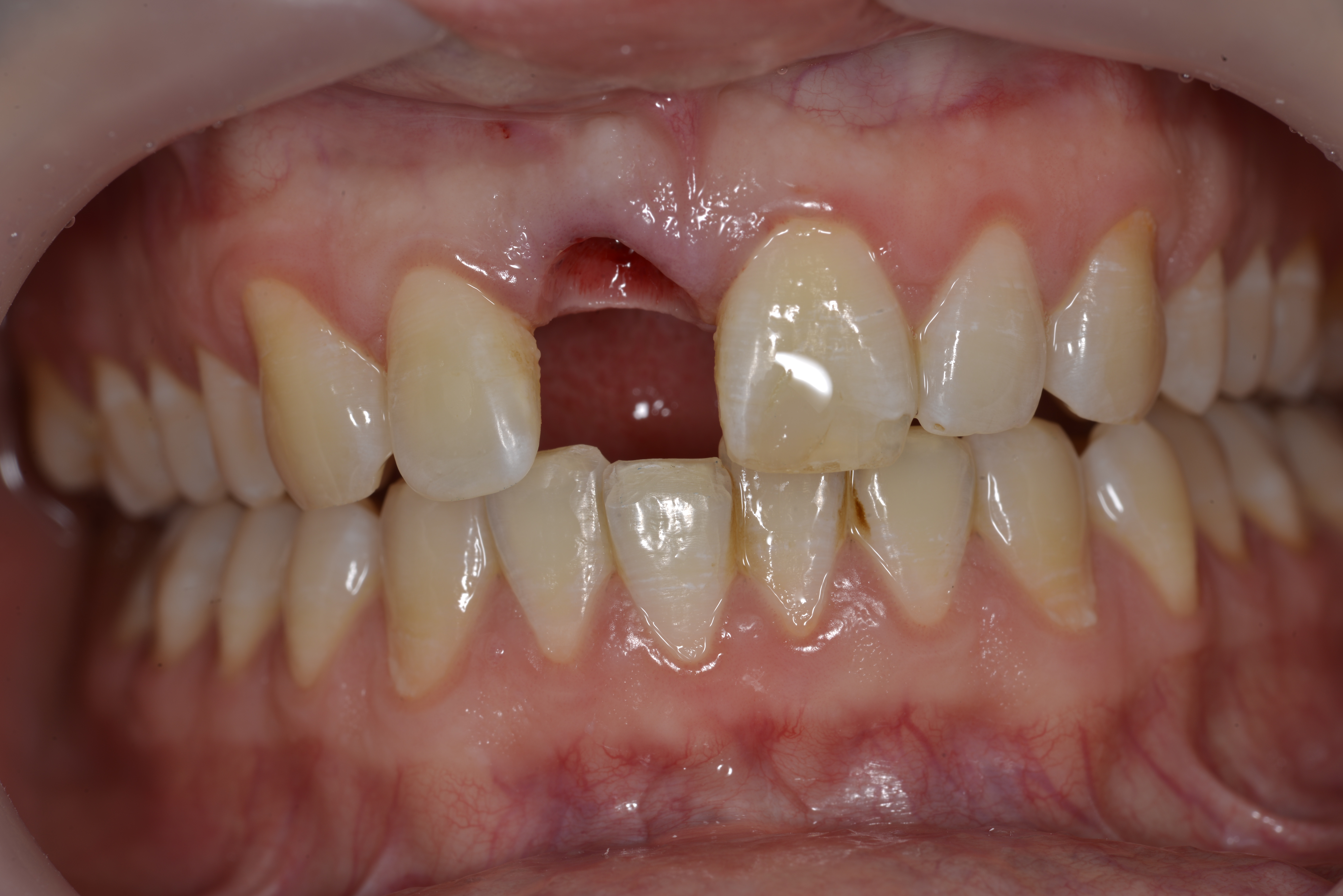
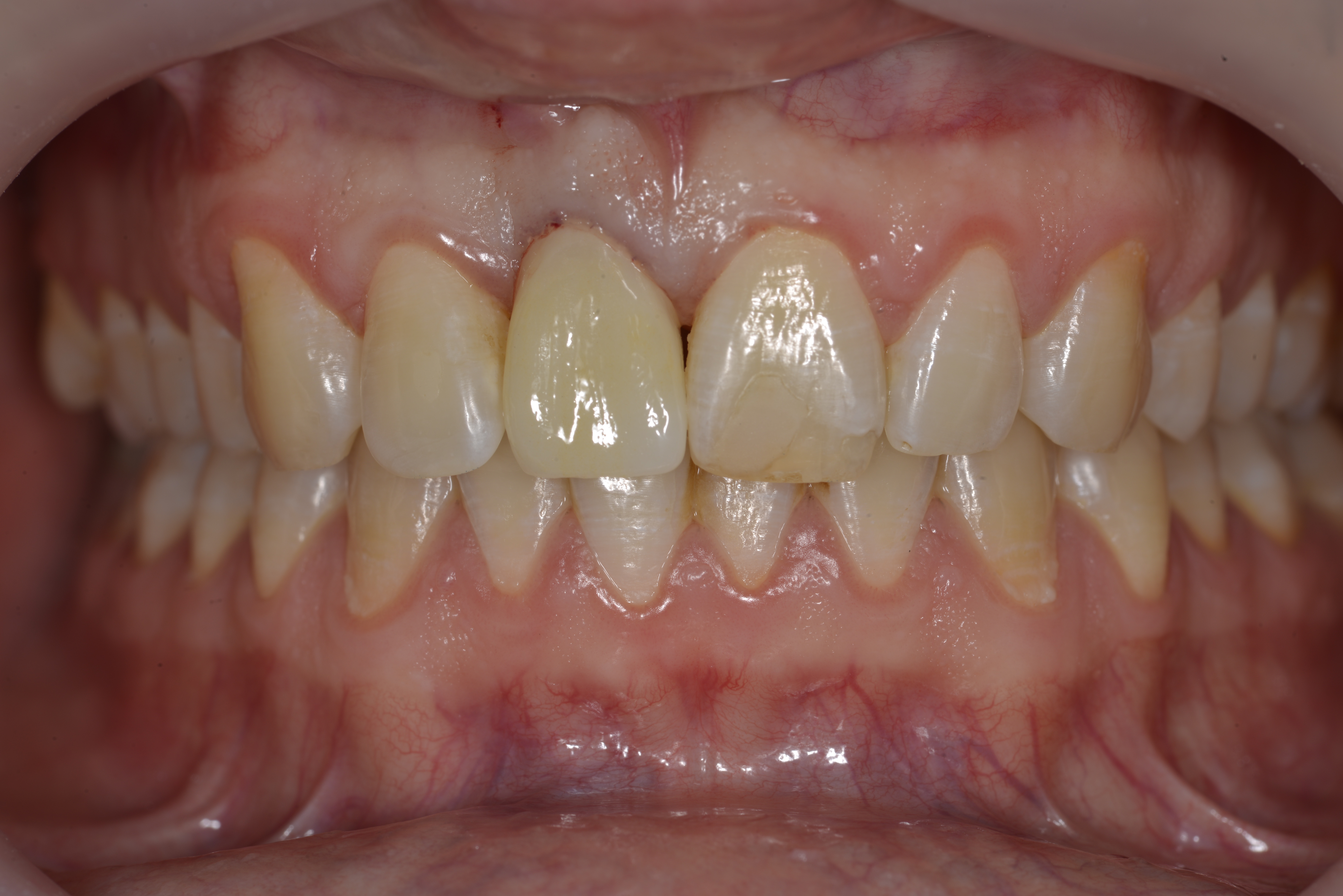
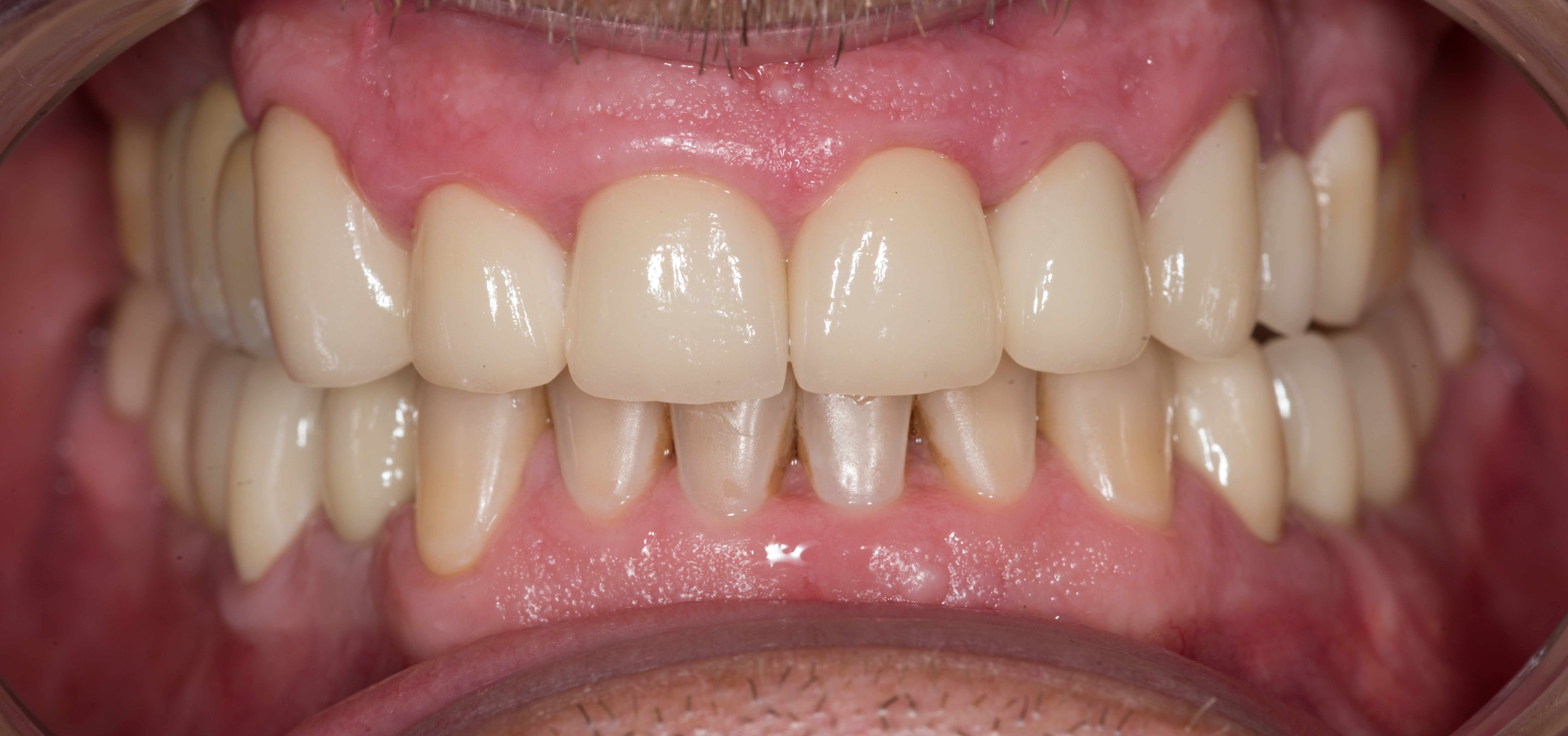
Mosolyképek – Valódi mosolyok, valódi történetek

A legszebb visszajelzés számunkra pácienseink elégedett, magabiztos mosolya. A Mosolyképek menüpontban betekintést nyerhet abba, milyen változást jelenthet egy jól elkészített fogpótlás – nemcsak esztétikailag, de az önbizalom és életminőség szempontjából is.

Smile 01
Smile 02
Smile 03
Smile 04
Smile 05
Smile 06
Smile 07

Copyright @ G-Dental Kft. 2025.

Adatvédelmi tájékoztató | Cookie szabályzat | ÁSZF
Ez a weboldal sütiket használ

Ez a weboldal sütiket (cookie-kat) használ a felhasználói élmény javítása, a weboldal működésének biztosítása, valamint statisztikai és marketing célok érdekében.

Funkcionális Always active
The technical storage or access is strictly necessary for the legitimate purpose of enabling the use of a specific service explicitly requested by the subscriber or user, or for the sole purpose of carrying out the transmission of a communication over an electronic communications network.
Preferences
The technical storage or access is necessary for the legitimate purpose of storing preferences that are not requested by the subscriber or user.
Statisztikai
The technical storage or access that is used exclusively for statistical purposes. The technical storage or access that is used exclusively for anonymous statistical purposes. Without a subpoena, voluntary compliance on the part of your Internet Service Provider, or additional records from a third party, information stored or retrieved for this purpose alone cannot usually be used to identify you.
Marketing
The technical storage or access is required to create user profiles to send advertising, or to track the user on a website or across several websites for similar marketing purposes.
  • Manage options
  • Manage services
  • Manage {vendor_count} vendors
  • Read more about these purposes
Testre szabás
  • {title}
  • {title}
  • {title}